Prevention is better than cure, any day. Similarly, Preventive dentistry is always better than restorative dentistry! And, Dental sealants or pit and fissure sealants are the heroes of preventive dentistry. In most cases when you get decay, you get a dentist to do a filling for you. However, fillings are considered restorative applications. A filling is used to repair the…
Blog
If you are thinking to get your Smile-correction done, know more about the latest/best options available before starting .your teeth straightening process. Aligners are comfortable, invisible and more convenient than metal braces. It’s a perfect solution for individuals who feel uncomfortable wearing traditional braces . Now they are also more affordable at Fine Feather Dental. What are Clear Aligners? It…
Make the White Choice for your Smile Do you know what makes your teeth appear dull or yellowish???? Ever imagined…! As we grow-up, our natural teeth start losing their whiteness due to the stains that gather from food and drinks we enjoy. For instance, curries, wine, soda, tea, coffee etc. Most of it can be removed by daily brushing and…
Importance of Dental Health Our teeth play an essential role in our life. They help us in Speech, to chew food, and impart beauty to our face. A beautiful smile has various benefits that give us confidence, as well as have a huge impact on our social life and careers. Dental health affects our life in many ways. Our body…
The borders of a country are made and kept secure by an army. The soldiers that make up the army are the first ones to face the brunt of an invasion.so they are primed and trained in such a way that they can protect the border and keep our country safe The same holds true for our teeth and oral…
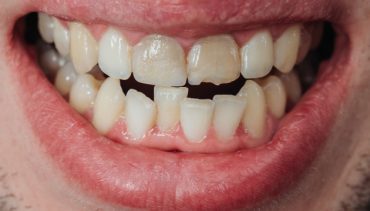
The harmonious arrangement of our upper & lower teeth is very important. It is not only important for proper chewing but also results into what we call ,”A Beautiful Smile,” Nature has arranged them in such a way so that they can remain clean or can be cleaned easily by our tongue, lips & cheeks. This harmonious arrangement is usually…
The Coronavirus infection is a viral infection that has affected 33M people globally -causing 996K deaths. It has been deathly, life changing and painstakingly difficult for the masses around the world. Started in Wuhan, China in December 2019 it is something that refuses to stop 9 months later as well – trapping people inside their abodes. The Covid-19 Pandemic hasn’t…
Why Dental Implants are the best way to replace missing teeth? With the advancement in dentistry, there are various ways to replace missing tooth/teeth for the patient, namely Dentures, Bridges, Implants etc. One of the more favoured ones is Dental implants. Millions of people worldwide have gone through dental implant procedures, and these numbers are rising continuously. Let us try…

